Our first Digital Employee is the Quality Control AI Agent
Quality Control (QC) AI Agent for Dental Scans
Our QC AI Agent performs Quality Control of intraoral scans in real time. 100% of scans submitted for dental appliances — aligners, braces, dentures, restoratives, etc. — require QC
Our QC AI Agent is compatible with any software you use to design dental appliances
The QC AI Agent learns your unique quality standards and applies them with expert-level precision, 24/7. It will act as your top dental technician
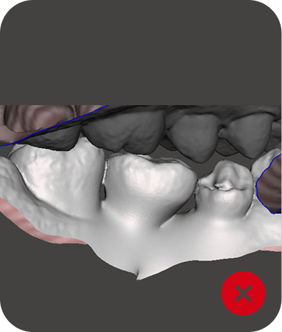
The QC AI Agent checks the following quality criteria:
Arch completeness – verifies full capture of both arches
Upper and lower arch presence – confirms both are submitted
Scan format (STL)
Scan quality – checks for clarity and accuracy
Holes and voids
Gingival margin visibility – confirms accurate margin capture
Posterior molar capture – ensures complete distal area coverage. 80% of issues are related to molars.
Occlusal evaluation
The QC AI Agent checks the following quality criteria:
Holes and voids
Gingival margin
Posterior molar capture
Occlusal evaluation
Customizable to Your Standards
We’ll configure the AI Agent according to your QC parameters during integration — think of it as a digital employee who learns your SOPs and executes them with 100% consistency.
Seamless Integration
Our solution integrates via API directly into your doctors’ portal, operating as an intelligent team member within your workflow.
Want to try it out?
Book a pilot or demo today to see the AI QC Agent in action.
Book a Meeting
What is next?
We are building end-to-end agentic solutions for dental manufacturers. Here is the list of Digital Employees we are developing:
Quality Control of intraoral scans – live
Pre-processing (file repair)
Treatment planning / appliance design
Clinical experts
Post-processing – manufacturing-ready files
Enter Details
Thank you! Your submission has been received!
Oops! Something went wrong while submitting the form.